Arthrose

Arthrose; Volkskrankheit Nr 1 im Hundeuniversum. Der Hund liegt viel, hat Probleme beim Aufstehen, humpelt immer mal wieder ohne besonderen Grund, läuft sich dann aber wieder ein. Wärme ist super, da funktioniert der Vierbeiner wieder fast wie neu. An kalten Regentagen geht plötzlich nix mehr. Dann die Diagnose: Arthrose. Für viele Besitzer ein Schock. 

Die Arthrose beim Hund schreitet in der Regel langsam voran. Zur Lahmheit gesellen sich später eine eingeschränkte Gelenkbeweglichkeit und zunehmende, irgendwann dauerhafte Schmerzen im betroffenen Gelenk. Dadurch bewegen die Hunde sich weniger, was zu einer Abnahme der Muskulatur und zu Verspannungen führt. Man kann Arthrose / Arthritis nicht heilen, aber man kann das Fortschreiten verlangsamen, die Gelenke schmieren, den Hund mit natürlichen Schmerzmitteln unterstützen und das Leben lebenswert gestalten indem man den Bewegungsapparat fit hält.

Das findet Lilly übrigens auch! Sie hat mit ihren 10 Jahren ebenfalls Arthrose, läuft aber immer noch gern am Fahrrad und regelmäßige Bewegung hilft ihr- denn auch für den Hund gilt: Wer rastet, der rostet! 

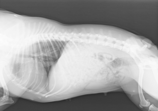
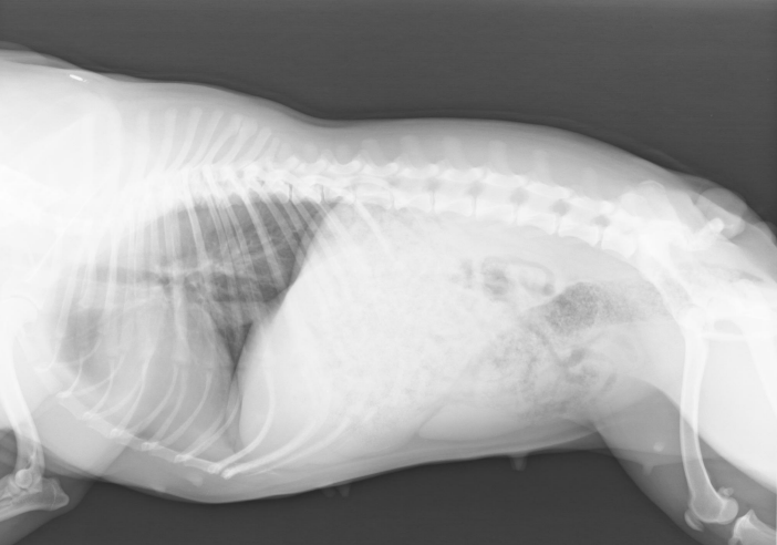
Arthrose Spondylose Definition. Eine Spondylose beim Hund bezeichnet eine degenerative, verschleißbedingte Veränderung der Wirbelsäule. Beim Hund handelt es sich meistens um eine sogenannte Spondylosis deformans, bei der es zu knöchernen Überbrückungen zwischen den Wirbelkörpern kommt.

Der Körper bildet knöchernes Ersatzgewebe was Reibung zwischen den Wirbelkörpern aber auch an der Faszialen Schicht verursacht. Daher ist eine Spondylosis deformans meist sehr schmerzhaft. Ist der Wirbelkörper aber erst einmal komplett verknöchert ist keine Bewegung dieses kleinen Teils der Wirbelsäule mehr möglich und der Hund hat wesentlich weniger Schmerzen da die Reibung nicht mehr statt findet. 

HD (Hüftgelenksdisplasie) & ED (Ellenbogengelenksdisplasie)

Die Anzeichen einer HD variieren abhängig von Alter des Hundes und dem Stadium der Krankheit. Junge Hunde beispielsweise haben Schmerzen, weil der Oberschenkelkopf nur ungenügenden Halt in der Hüftgelenkspfanne findet und dadurch die Nervenfasern der Knochenhaut gereizt werden. Bei älteren Tieren treten Schmerzen aufgrund von Arthrosen des Hüftgelenks auf.

Zunehmende Beschwerden bei Spaziergängen sind die Folge. Der Hund möchte nicht mehr weit laufen, setzt sich öfter hin, zeigt einen instabilen Gang, lahmt häufiger und jault beim Spielen gelegentlich auf. Meist lassen die Hunde sich beim Hinlegen einfach fallen und auch Knirsch- oder Knackgeräusche des Gelenks können hörbar sein.

Die Veranlagung ist bereits bei der Geburt vorhanden. Wie stark sie sich entwickelt und ob sie überhaupt in das Stadium von medizinischer Betreuung kommen muss, zeigt sich erst während des Heranwachsens. "Wenn ungünstige genetische Vorbelastungen bekannt sind, kann vorgebeugt werden, zum Beispiel durch Sport, der die Gelenke schont und eine ausgewogene Ernährung," rät Dr. Tierarzt Dr. Fabian von Manteuffel. "Auch knorpelaufbauende Mittel wie Muschelfleischpulver empfehlen sich." Ebenso kann im Wachstum Physiotherapie helfen, da durch den gezielten Aufbau der Muskulatur das Hüftgelenk entlastet wird.

Folgt mir im Social-Media

... und bleibt immer auf dem Laufenden über meine Arbeit.

Diese Website verwendet Cookies.
Dies ermöglicht mir, Ihnen das bestmögliche Nutzererlebnis bieten zu können. Mehr Informationen dazu finden Sie in meinen Datenschutzbestimmungen. Mit der weiteren Nutzung meiner Internetseite erklären Sie sich mit der Verwendung von Cookies einverstanden.
Akzeptieren und speichern